What are the effects of smokeless tobacco?
Smokeless tobacco is considered safer than cigarettes because it is not associated with lung cancer. But even if they are not associated with lung cancer, smokeless tobacco shares several common health risks with cigarettes and other risks. Before discovering the effects of smokeless tobacco, it is essential to mention that it is separated into many types, such as chewing tobacco, snuff, snus, and dissolvable.
All tobacco types have the same health risks and can cause approximately the same illnesses. Generally, none of the tobacco types are completely safe [according to some experts]. Smokeless tobacco, like cigarettes, contains nicotine, which can lead to dependency, as well as loads of chemicals that can cause cancer.
Addiction
Chewing tobacco and all other tobacco types feature the same component- nicotine.
Generally, nicotine is the one chemical that makes tobacco addictive. However, according to some research, people who utilize smokeless tobacco can achieve as much or even more nicotine in their bodies as people who use cigarettes. Moreover, smokeless tobacco can provoke severe irritability and cravings.
Cancer
Thinking about the effects of smokeless tobacco, the first thing that may come to mind is cancer. Using any smokeless tobacco product enhances the risk of cancer in the throat, pancreas, and mouth. In addition, smokeless tobacco enhances the danger of developing in your mouth some white growths named Leukoplakia. These plats [leukoplakia] suddenly have the prospect of transforming into cancer.
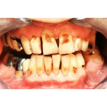
Dental & Heart Disease
The two most common diseases that smokeless tobacco can cause are dental and heart disease. The sugar and irritants of smokeless tobacco can provoke dental disease. Some common dental diseases are tooth cavities, lacerations of teeth, gum disease, teeth staining, smelly breath, receding gums, and bone misplacement throughout the roots.
On the other hand, heart disease can be provoked due to the elevated heart rate and blood pressure that smokeless tobacco can cause. An enduring period of utilization of smokeless tobacco increases the risk of dying from heart disease as well as stroke.
What are the effects of smokeless tobacco on pregnancy?
It is strictly forbidden to smoke cigarettes during pregnancy. Exactly like that, it is strictly forbidden to utilize any smokeless tobacco as well. The use of smokeless tobacco during pregnancy increases the risk of stunted birth weight, infant heart rate inconsistency, and stillbirth.
Poisoning Risk
Smokeless tobacco consolidates a poisoning risk. Nicotine poisoning possesses the following symptoms: vomiting, nausea, convulsions, weakness, trouble breathing, and, worst, even death.
Conclusion
In summation, the question “What are the effects of smokeless tobacco” contains many unpleasurable answers. All smokeless tobacco products badly influence a human’s body, and none of them are safe. Therefore, it is absolutely recommended to read first all the risks and effects that smokeless tobacco can provoke and to ensure that you are well informed about what it is.








